Một bước đột phá mang tính cách mạng trong y học đã giúp những người mù lấy lại thị lực nhờ một con chip điện tử siêu nhỏ được cấy vào mắt. Thiết bị mang tên Prima – chỉ rộng 2 milimét và mỏng bằng nửa sợi tóc – đang mở ra “kỷ nguyên mới của thị giác nhân tạo”, theo các nhà khoa học tại Bệnh viện Mắt Moorfields ở London và Viện Nhãn khoa UCL, những đơn vị tham gia thử nghiệm lâm sàng quốc tế.
Trong nghiên cứu được công bố trên tạp chí New England Journal of Medicine , 38 bệnh nhân đến từ Anh, Pháp, Đức, Ý và Hà Lan bị mất thị lực trung tâm do thoái hóa điểm vàng thể khô (geographic atrophy – GA), giai đoạn cuối của bệnh thoái hóa điểm vàng do tuổi tác (AMD), đã được cấy ghép thiết bị này.
Đây là một căn bệnh hiện chưa có cách chữa, khiến khoảng 600.000 người tại Anh và hơn 5 triệu người trên toàn thế giới dần mất thị lực khi các tế bào cảm quang ở võng mạc chết đi.
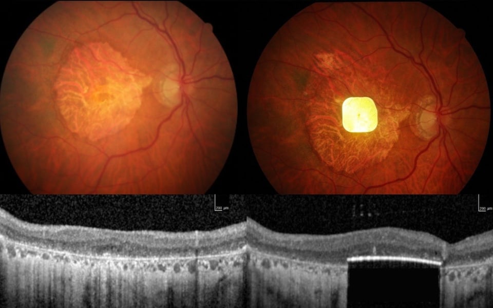
Con chip được đặt bên dưới võng mạc và hoạt động cùng với một cặp kính thực tế tăng cường có gắn camera. Camera ghi lại hình ảnh phía trước, sau đó trí tuệ nhân tạo sẽ xử lý và chuyển đổi dữ liệu thành tín hiệu hồng ngoại truyền tới con chip.

Mắt bên trái đã được cấy ghép chip để hỗ trợ thị giác
Thiết bị này sẽ kích thích các tế bào thần kinh còn khỏe mạnh ở lớp trong của võng mạc, giúp tín hiệu được gửi qua dây thần kinh thị giác lên não, nơi chúng được diễn giải thành hình ảnh. Nhờ cơ chế này, người từng hoàn toàn mù có thể nhìn lại được chữ, số, khuôn mặt và vật thể xung quanh.
Sau một năm, hơn 80% số bệnh nhân trong nhóm thử nghiệm cải thiện rõ rệt khả năng đọc. Trung bình, họ đọc thêm được năm dòng chữ trên bảng thị lực tiêu chuẩn, có người tăng tới 12 dòng. Một số thậm chí có thể đọc sách, làm ô chữ hay nhìn được dòng chữ nhỏ trên nhãn thuốc.

Bộ xử lý ở thiết bị số (1) sẽ chuyển hóa hình ảnh thu nhận từ camera và truyền ngược lại về mắt kính của người dùng
Bác sĩ Mahi Muqit, chuyên gia phẫu thuật võng mạc tại Moorfields, nói rằng những người từng mất hoàn toàn thị lực trung tâm nay đã có thể “đọc, viết và nhận diện khuôn mặt – điều mà họ tưởng sẽ không bao giờ làm lại được”. Ông gọi đây là “bước ngoặt trong lịch sử thị giác nhân tạo”.

Con chip sẽ được cấy ghép vào mắt người
Một trong những bệnh nhân đầu tiên, bà Sheila Irvine ở London, kể lại rằng trước khi phẫu thuật, tầm nhìn của bà “giống như có hai đĩa đen chắn trước mắt”, khiến bà không thể đọc hay lái xe.
Sau khi cấy chip, bà phải mất vài tháng để học cách “nhìn theo cách mới”, nhưng thành quả khiến bà xúc động: “Ban đầu tôi chỉ thấy một mảng trắng, rồi một hôm tôi bắt đầu nhìn thấy mép chữ… và rồi nhìn thấy cả chữ cái. Cảm giác thật sự phấn khích.” Bà giờ đã có thể đọc đơn thuốc và làm ô chữ mỗi sáng – điều tưởng chừng không thể.

Bên trái là hình ảnh camera thu được, bên phải là hình ảnh sau khi qua xử lý để truyền về con chip
Ca phẫu thuật cấy chip Prima chỉ kéo dài chưa đến hai giờ và được kích hoạt sau một tháng. Tuy nhiên, bệnh nhân cần vài tháng luyện tập để não thích nghi và học cách diễn giải tín hiệu hình ảnh. Kính thông minh đi kèm còn có tính năng phóng to, giúp bệnh nhân dễ đọc hơn.
Công nghệ này được phát triển bởi công ty công nghệ sinh học Science Corporation có trụ sở tại California, do Max Hodak – đồng sáng lập Neuralink – đứng đầu. Ông cho biết: “ Đây là bước tiến chứng minh tiềm năng của công nghệ thần kinh trong việc mang lại hy vọng thật sự cho những người tưởng đã mất đi ánh sáng .” Science Corporation đang làm việc với các cơ quan quản lý để xin phê duyệt và kỳ vọng thiết bị sẽ sớm được triển khai trong hệ thống y tế công (NHS) của Anh.
Theo tiến sĩ Frank Holz, tác giả chính của nghiên cứu, khoảng một phần tư số người mù hợp pháp tại Anh mắc GA do AMD, và kết quả này đã “xác nhận rằng lần đầu tiên trong lịch sử, chúng ta có thể khôi phục chức năng thị giác trung tâm cho bệnh nhân mất thị lực hoàn toàn”. Ông gọi đây là “một sự thay đổi mô hình trong điều trị thoái hóa điểm vàng giai đoạn cuối” – khi công nghệ thần kinh không còn là giấc mơ, mà đã thực sự giúp con người nhìn thấy lại ánh sáng.


