Vụ việc bí ẩn: 65 người Mỹ bị u não cực kỳ hiếm, đều...
Khi một chứng bệnh rất, rất hiếm gặp xuất hiện ở một số người trong một gia đình thì người ta sẽ nghĩ...
Gừng giúp ngăn ngừa ung thư đại tràng
Gừng có tác dụng điều trị bệnh tiêu hóa, phòng ngừa ung thư đại tràng, là một vị thuốc quý của Đông y...
Bất ngờ cách đi bộ giúp đốt nhiều calo nhất
Một nghiên cứu từ Mỹ đã tìm ra một giải pháp ít tốn thời gian hơn cho những người có nhu cầu tăng...
24 sự thật thú vị về xứ Wales
Wales (trong tiếng Wales là Cymru) là một phần của Vương quốc Liên hiệp Anh, nổi tiếng với sự giàu có của các...
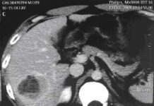
Ung thư gan: có thể chữa được nếu phát hiện sớm
Ung thư gan là nguyên nhân gây tử vong chính trên toàn thế giới với hơn 600.000 ca tử vong mỗi năm. Ở...
Tranh cãi về 3.000 lính Trung Quốc “biến mất” bí ẩn năm 1937
Một tiểu đoàn 3.000 binh sĩ Trung Quốc biến mất không dấu vết năm 1937, châm ngòi cho tranh cãi trong giới sử...
Thảm họa hạt nhân bị che giấu suốt 30 năm
30 năm trước khi lò phản ứng hạt nhân ở Chernobyl phát nổ, một sự cố khác từng xảy ra ở nhà máy...
“Thủ phạm” làm tăng đường huyết không phải đường mà chính là 3 thói...
Ai cũng nghĩ tiểu đường là do chúng ta đã ăn quá nhiều đường mà không biết rằng chính các thói quen xấu...
Phát hiện “bóng đen kì lạ” giữa cơn bão tại Mỹ
Cư dân địa phương và cộng đồng mạng hiện vẫn chưa hết xôn xao về một đoạn video tại Nebraska (Mỹ) ghi lại...
Những bí mật về matcha có thể bạn chưa biết
Trà xanh của Nhật là nguyên liệu ưa thích của nhiều thực khách. Có một số bí mật thú vị về loại thực...
Thực hư về những bí ẩn và hồn ma tồn tại ở Tháp London
Nói đến các sự kiện siêu nhiên ở Anh thì phải kể đến Tháp London. Nó nằm trong một lâu đài cổ kính...
Grand Canyon, khu vực bí ẩn ẩn chứa những di tích Ai Cập cổ...
Hẻm núi Grand Canyon ở Arizona, Mỹ không chỉ là nhân chứng cho những biến đổi địa chất mà còn là nơi sản...
Cảnh giác dấu hiệu ung thư gan
Ung thư gan là bệnh ung thư phổ biến thứ hai trên thế giới chỉ sau ung thư phổi, triệu chứng thường gặp...
Bí ẩn về thi hài nữ mặc long bào với những vết máu kỳ...
Các nhà khảo cổ học Trung Quốc từng gây chấn động khi tìm thấy một ngôi mộ cổ bên trong có một thi...
Cách làm sạch tường trắng
Tường sáng màu khiến không gian thêm rộng rãi và sạch sẽ, nhưng lại nhanh bẩn và buộc gia chủ phải dùng các...
Rợn người trước những sự trùng hợp không thể lý giải trong lịch sử
Sự trùng hợp của các sự kiện cách nhau hàng chục năm hoặc những con người hoàn toàn khác biệt dưới đây khiến...
Pin cấu trúc: Loại pin đặc biệt có thể làm cho những chiếc điện...
Với tiềm năng mở ra những chiếc điện thoại mỏng như thẻ tín dụng và xe điện có phạm vi hoạt động tăng...
Ngôi nhà bí ẩn xuất hiện ở vách đá cheo leo “dốc trượt của...
Trên vách đá cheo leo rất nguy hiểm mà người ta gọi là “Dốc trượt của Quỷ”, cũng chỉ cách những con sóng...
Mụn trứng cá có thể mang lại lợi ích bất ngờ cho quá trình...
Mụn trứng cá – một vấn đề dai dẳng và ám ảnh không ít người trong độ tuổi thanh thiếu niên – thường...
Sử dụng điện thoại không có liên quan tới nguy cơ ung thư não
Dựa trên theo dõi tình hình bệnh ung thư não trong suốt 29 năm, trong mối tương quan với sự phát triển của...






















